toppic
当前位置: 首页> 修真小说> 山西省平定县于先生骨不连康复病例【骨髓炎康复之家】

山西省平定县于先生骨不连康复病例【骨髓炎康复之家】

2018-05-28 23:10:32


 病史简介: 患者于2014年6月份车祸至左股骨粉碎性骨折及左股骨粗隆间骨折,到阳泉阳煤集团医院就诊,给予手术及内固定处理,住院15天,回家疗养。2015年5月份到阳煤集团医院给予冲击波治疗一月余,无好转。2015年10月份,到山西平定县医院就诊,给予手术及植骨治疗,住院15天,回家疗养。但骨折至今未愈合。2016年9月份,患者为求进一步诊治,故来我院就诊。


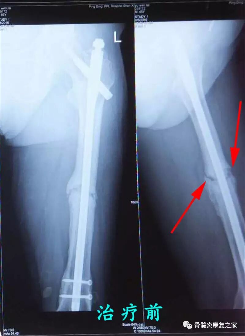
2016-08-08

患者初入院时片子显示情况:骨折线清晰可见,没有骨痂生成 

  

2016-12-11  

  患者治疗四个月后拍片检查,片子显示:骨折线模糊,有骨痂生成,新生骨填充。


 医生总结:骨折不愈合称之为骨不连。骨组织具有自身修复的强大能力,当骨折给予适当的治疗,大多数骨折都会很好愈合。然而,一部分骨折却难以愈合。当骨折愈合比较缓慢,称为延迟愈合。当骨折不能愈合,则称为骨不连。在所有骨折病人中,大约5%的患者愈合困难。由于骨折部位的持续活动,骨不连通常伴有疼痛,大大降低了患者的生活质量。

大夫24小时在线随时为您解答,指定医生微信:2953028685

病情咨询QQ群:485106351



官方医生微信:2953028685


微信群:




点击阅读原文可以在线咨询病情情况。



友情链接