toppic
当前位置: 首页> 奇幻小说> 【微课堂】ECHO基础篇:常见超声切面(3):心尖切面及左室18节段分法

【微课堂】ECHO基础篇:常见超声切面(3):心尖切面及左室18节段分法

2022-02-06 13:05:33

前两次课程,详细讲述了常见超声切面中的左室长轴切面及左室短轴切面。本次课程,杨娅教授将为大家讲解心尖切面及左室18节段分法。


一、心尖切面及其结构



心尖切面就是将超声探头放在心尖波动处,然后旋转、倾斜探头,从而获得心尖部不同方位的切面。图A是人体心尖切面示意图,在此切面基础上逆时针旋转探头(图B),即可获得心尖部的其他切面,如四心腔切面(图C)、两心腔切面(图D)、三心腔切面(图E)、五心腔切面(图F)。


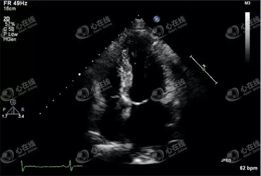
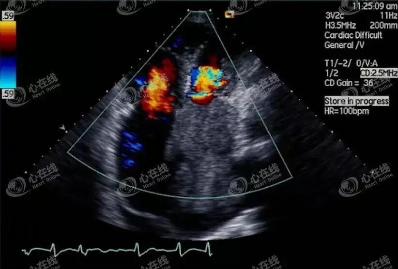
四心腔切面动态图(如上图所示)可显示左房、左室、右房、右室、房间隔、室间隔、二尖瓣、三尖瓣等结构。还可显示心腔内血流,如二尖瓣口血流、左室流出道三尖瓣口血流等。


图A为四心腔切面,显示二尖瓣口血流。图B是脉冲多普勒在二尖瓣口处(黄色箭头所指部位)所获得的血流频谱图,观察可见二尖瓣舒张期的e峰和心房收缩所产生的a峰。


图C为五心腔切面,显示左室流出道三尖瓣口血流和深主动脉近端血流。图D为主动脉瓣口收缩期的血流频谱图,可以评估心功能,观察主动脉瓣口有无狭窄。


二、心尖四心腔切面下的疾病表现


1.左心房、右心房


(1)左房血栓


观察图A可见心房内巨大的、多发的占位性病变,即左房血栓。图B显示游离的左房血栓,由于二尖瓣口狭窄,血栓不能通过,只能在左房里面反复运动。游离血栓非常危险,一旦血栓卡到二尖瓣口,就会完全堵住二尖瓣口血流,进而诱发阿斯综合症。此外,血栓在心腔内不断运动,血栓碎片不断脱落, 容易导致体循环栓塞。


(2)左房粘液瘤


观察图A可知心房内出现异常回声,且粘液附着部位多在卵圆孔附近。图B显示活动度较大的粘液瘤,部分粘液已经移动到左室,内部回声不均。观察图C可见大部分心脏结构于舒张期被拖至左室,易发生体循环栓塞。图D显示粘液附着部位在肺静脉入口,而不在卵圆孔附近。


(3)双房粘液瘤


经食管超声心动图(图A)可见,左房和右房均有十字形的占位性病变,活动度较低,考虑双房粘液瘤。图B为术中粘液瘤,图C为术后切除的粘液瘤。


2.左心室、右心室


(1)肥厚型心肌病


观察图A可见室壁、室间隔厚度均明显增加,提示肥厚型心肌病。观察图B可见绿色箭头处室壁运动明显减弱,由冠心病、心肌梗死所致,我们称之为节段性的室壁运动异常。


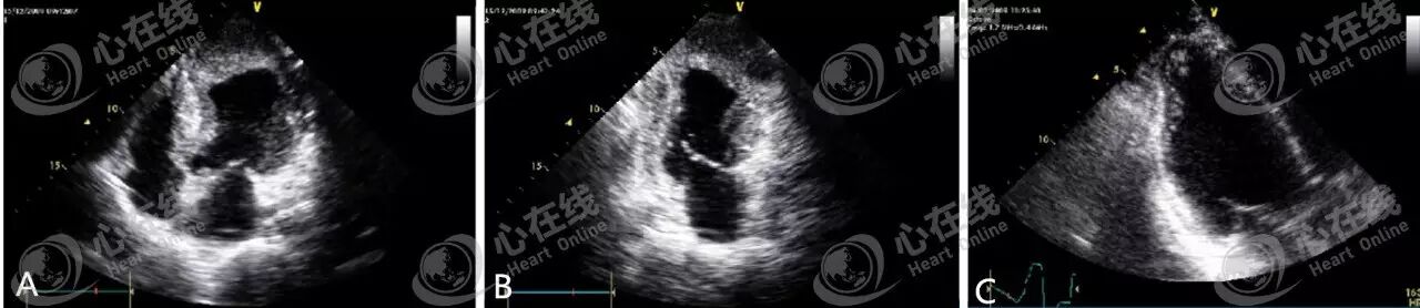
(2)左室血栓


观察四心腔切面(图A)、两心腔切面(图B)、三心腔切面(图C),可见左室心梗后形成的各类型血栓,且均附着在左室心尖部。


(3)假性室壁瘤


图A显示右室的十字形占位性病变,观察可见右室房室环部位出现肿块,且右心明显扩大。观察图B可见左室外侧有一个瘤腔,且左室壁连续中断,彩色多普勒可见贯通于左室腔和瘤体之间的血流信号,提示假性室壁瘤。


对心尖室壁瘤形成的患者经介入方法置入“降落伞”(图B),可改善心功能。图A、C为置入“降落伞”术后的超声动态图。


3.二尖瓣、三尖瓣


(1)风湿性瓣膜病


观察上图可见二尖瓣口高速血流、三尖瓣血流,且瓣膜存在反流,左房内有浓密的“雾影状”回声,提示风湿性瓣膜病。


(2)感染性心内膜炎


观察上图可见二尖瓣前叶左房侧有条索状回声,且活动度较大,提示感染性心内膜炎。


(3)二尖瓣重度关闭不全


图A显示肌接近断裂,彩色多普勒超声心动图(图B)提示二尖瓣重度关闭不全。


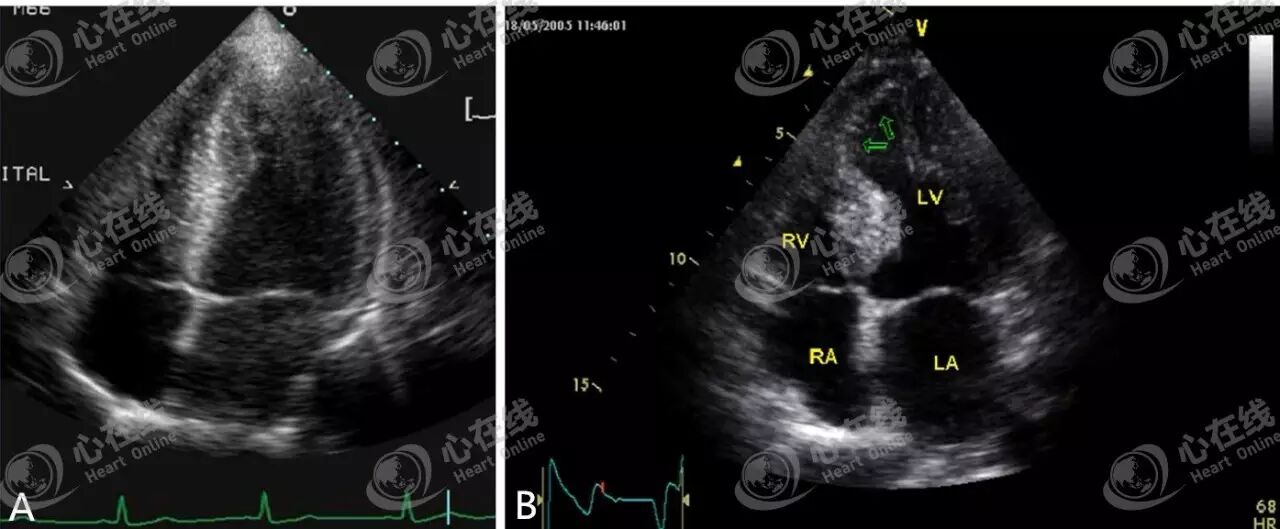
4.房间隔、室间隔


图A显示房间隔缺损,可见房间隔连续中断,血液由左房、途经缺损部位到达右房,后进入右室。图B显示肥厚型心肌病。图C显示室间隔近心尖部有一个连续中断。观察图D可见血流信号从左室经过缺损部位进入到右室。


三、左室18节段划分法



不同的心尖切面对应不同节段(图A)。四心腔切面显示后间隔和左室侧壁,后间隔的基底段和中间段由右冠状动脉供应,左室侧壁的基底段和中间段由冠状动脉回旋支供应,心尖部由左冠状动脉前降支供应。两心腔切面显示左室前壁和下壁,左室前壁和心尖部由左冠状动脉前降支供应,左室下壁的基底段和中间段由右冠状动脉的后降支供应。三心腔切面显示前间隔和左室后壁,前间隔和心尖部由冠状动脉前降支供应,左室后壁由冠状动脉回旋支供应。


上节课讲到,16节段分法即基底段和肌水平的左室各划分为6个节段,心尖部简化为4个节段(图B)。17节段分法是在16节段基础上多出一节心尖划分,而18节段分法是在16节段基础上不简化心尖部,仍然延续基底段和中间段的6个节段分法。


下期预告:常见超声切面(4):大动脉短轴切面、胸骨上窝主动脉弓切面及剑下切面


往期课程回顾:

第一讲:

第二讲:

第三讲:

第四讲:

第五讲:【微课堂】

心在线原创,欢迎转发,谢绝转载,保护版权,违者必究!




心在线 专业平台专家打造
策划 岑聪┆编辑 崔凤娟┆视频后期 尚勇┆美编 柴明霞┆制版 潘欢

↓↓↓ 点击下方"阅读原文" ,进入官网




友情链接